رفتن به محتوای اصلی
x

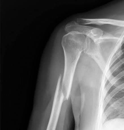
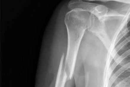
برای اولین بار در بیمارستان فاطمیه بادرود جراحی درمان شکستگی بازو با استفاده از پیچ و پلاک با موفقیت انجام شد.

این جراحی بزرگ و تخصصی و حساس توسط  پزشکان معالج جناب آقای دکتر حمیدرضا حاجی هاشمی، متخصص جراح ارتوپدی و سرکار خانم دکتر لیلی مهرزاد متخصص بیهوشی و مراقبت‌های ویژه انجام گرفت. جراحی فوق با همراهی و همکاری بی‌نقص کارکنان اتاق عمل انجام شد.

دکتر زاهدی، رئیس بیمارستان فاطمیه بادرود، با ابراز رضایت و خرسندی از این موفقیت بزرگ، گفت:
این دستاورد نتیجه‌ی تلاش و همدلی کم‌نظیر تیم درمانی بیمارستان است. از زحمات بی‌وقفه‌ی دکتر حمیدرضا حاجی هاشمی، متخصص جراح ارتوپدی، و دکتر لیلی مهرزاد، متخصص متعهد و دلسوز بیهوشی، که با صبر، دقت و روحیه‌ی بالا  روزی پرافتخاری را رقم زدند، صمیمانه سپاسگزارم. 
وی افزود زین پس متخصص جراح ارتوپدی جناب آقای دکتر حاجی هاشمی به صورت تمام وقت در این مرکز مشغول ارائه خدمات به بیماران و مراجعین می‌باشد.